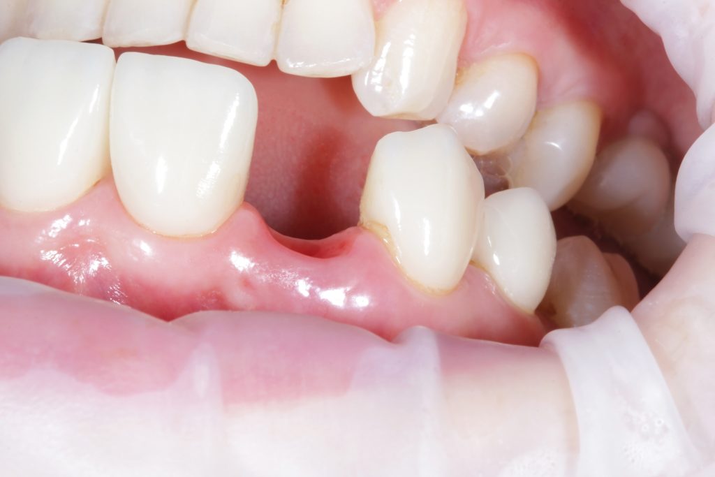
Missing Teeth

You might be surprised to learn that your teeth play a crucial role in supporting your facial structure. Each tooth root actively stimulates the jawbone, keeping it strong and dense. When a tooth is lost, that stimulation disappears, and the bone begins to deteriorate. This process not only weakens your jaw but can also lead to a sunken look in your cheeks and lips over time. It’s a structural problem that requires a structural solution. This article will explain exactly how this happens and why dental implants are so effective. By mimicking a natural tooth root, they restore stimulation to the jaw, halting bone loss and preserving your youthful appearance.

Do you know that a missing tooth can do more harm than affect your smile? They tend to change your jawbone, face shape, and oral health over time. If you are to consider restoration, it’s vital to understand these hidden consequences and how modern solutions like full mouth dental implants can help protect your structure. Even when you compare traditional dentures to advanced implants, you will see why many people in Colorado and beyond turn to dental implant specialists for a more permanent solution. In this article, we will delve into how missing teeth can affect your jawbone and facial structure, leading to facial sagging and bone loss. Then you will find out how dental implants prevent or even reverse these changes.

What Happens When You Lose a Tooth: The Chain Reaction

When a natural tooth is lost and remains unreplaced, it triggers a cascade of structural changes:

  • Bone resorption begins: Without a root to stimulate the jawbone, the bone no longer receives forces that maintain density. Over time, the bone gradually shrinks in height and width.
  • Shift in neighbouring teeth: Adjacent teeth lean into the space, and can affect your teeth alignment and bite. This further makes it hard for you to chew food comfortably.
  • Compromised biting and chewing: Loss of chewing force in that region leads to uneven loading on remaining teeth and segments of bone.
  • Altered facial support: Over the years, the loss of bone density and volume causes your cheeks, lips, and skin to collapse inward slightly, changing your appearance.

These changes may progress slowly, but eventually, they result in visible signs like later cheeks, deeper folds around the mouth, and a more “sunken” expression. If you want to know how to prevent these from happening, keep reading!

Bone Loss: The Silent Culprit

There are many limitations with traditional dentures, and hence, they cannot preserve your jawbone or prevent facial sagging like dental implants can. Any dental specialist in Denver would suggest getting dental implants as the long-term solution to this problem. Bone loss is a silent but relentless process. Without stimulation from teeth:

  • The jawbone’s alveolar ridge (the part that holds teeth) deteriorates.
  • Each year, people can lose up to 0.5 to 1.5 mm of bone height in that region if it’s left toothless.
  • Over time, the jaw may shrink so much that placing implants becomes more challenging, requiring grafting or augmentation.

This is why early intervention is so necessary. If you are facing any of these problems, it is essential to consult a dental care specialist near Denver and get yourself checked. A reliable dental clinic in Denver can recommend the best course of action to prevent your facial structure from deteriorating. Read more: Uncovering the reality of bone loss and dentures

The Health Consequences of Delaying Treatment

Putting off treatment for a missing tooth might seem like a minor issue, but the effects go far beyond just a gap in your smile. When you delay, your jawbone begins to shrink from lack of use, a process called resorption. This can change your facial structure over time, leading to that sunken or “caved-in” look, and makes future procedures more complex. If you eventually decide on a dental implant, you might need a bone graft first, which adds time and cost to the process. More importantly, your oral health is directly connected to your overall well-being. Infections and issues stemming from missing teeth can increase the risk for other health problems, including heart disease. Addressing a missing tooth promptly is a crucial step in protecting both your smile and your long-term health.

Facial Sagging & Aged Appearance

When the alveolar bone recedes, it fails to support the overlying soft tissues, muscles, fat, and skin, resulting in:

  • Sunken cheeks
  • Narrowed lower face height
  • Deeper nasolabial folds (creases from nose to mouth corners)
  • Premature aging of the lower face

These changes often make people look older than they are. Hence, many patients seek full mouth dental implant restoration not just for function but to restore a youthful appearance. Dental implants are the modern solution for your missing tooth, and can be a worthwhile investment on your part.

How Implants Help Prevent Bone Loss & Sagging

Dental implants act as artificial roots and, hence, they can be beneficial for your oral health in multiple ways. Here’s how they counteract the damage:

  • Osseointegration & stimulation

Once placed, a titanium or zirconia implant bonds with the bone (osseointegration). It transfers biting forces into the jaw, mimicking natural stimulation—this way, it preserves and even promotes bone density.

  • Maintaining alveolar height and width

Implants preserve the volume of the alveolar ridge, which supports gums, cheeks, and lips, helping maintain facial contours.

  • Stabilizing soft tissues

By preserving bone, Dental implants Denver stabilize your adjacent gum tissues, preventing collapse of soft tissue structures that contribute to sagging.

  • Enabling fixed, stable full-arch restorations

With full mouth dental implants, you can get a fixed prosthesis that functions like natural teeth, distributing forces evenly and maintaining structural integrity. Unlike dentures, full arch implants remain stable and load the bone properly.

The Dental Implant Procedure Explained

The idea of getting a dental implant might sound complex, but it’s a highly successful and routine procedure designed to permanently restore your smile. The entire process is a journey with several distinct stages, all focused on creating a stable and natural-looking replacement tooth. It begins with a thorough consultation to map out your personalized treatment plan. From there, the process involves placing the implant, allowing your body time to heal and integrate it, and finally attaching your new tooth. Each step is carefully managed by your dental team to ensure the best possible outcome, giving you a durable foundation that can last a lifetime. At Dental & Implant Centers of Colorado, our specialists guide you through every phase, making sure you feel comfortable and informed from start to finish.

The Step-by-Step Process

Your dental implant journey starts with an initial consultation, where your dentist assesses your oral health and jawbone density. The next major step is the implant placement, where a small titanium post is surgically positioned into the jawbone. This post acts as the new root for your tooth. Following this, a crucial healing period begins, which can last several months. During this time, a process called osseointegration occurs, where your jawbone naturally fuses with the titanium post, creating an incredibly strong base. Once healing is complete, an abutment is attached to the post, which will connect the implant to your new artificial tooth. The final step is placing the custom-made crown, which is designed to match your natural teeth perfectly in color and shape.

Pain Management and Recovery

It’s completely normal to be concerned about discomfort, but most patients find the recovery process very manageable. After the implant placement, any pain can typically be handled with over-the-counter pain relievers. You might experience some swelling or minor bruising, but this usually subsides within a few days, allowing you to return to your normal activities quickly. The most important part of recovery is the longer-term healing of the bone, which happens quietly over several months. Following your dentist’s post-operative instructions is key to a smooth recovery and ensuring the implant successfully integrates with your jawbone. Our patients often share in their testimonials how surprised they were by the minimal discomfort involved.

Success Rates and Potential Risks

One of the most reassuring aspects of dental implants is their remarkable track record. With a success rate between 95% and 98%, they are considered one of the most reliable solutions in modern dentistry. However, like any surgical procedure, there are potential risks, though they are rare. These can include infection at the implant site, minor nerve damage, or implant failure if osseointegration doesn’t occur properly. The best way to minimize these risks is to choose a highly experienced dental team and follow all aftercare instructions carefully. Proper oral hygiene and regular check-ups are essential for the long-term health of your implant and surrounding tissues. When you work with a skilled specialist, you significantly increase your chances of a successful, lifelong result.

Who Is a Good Candidate for Dental Implants?

While dental implants are a fantastic solution for many, they aren’t the right fit for everyone. The ideal candidate is someone with good overall and oral health. One of the most critical factors is having sufficient jawbone density, as the bone needs to be strong enough to support and fuse with the implant post. Healthy gums, free from periodontal disease, are also essential for long-term success. During your initial consultation, your dentist will perform a comprehensive evaluation, including X-rays or 3D imaging, to determine if your jawbone is ready for an implant. They will also discuss your health history, as certain habits like smoking or conditions like uncontrolled diabetes can affect the healing process and overall success of the procedure.

Key Factors for Candidacy

To determine if you’re a good candidate, your dental specialist will look at a few key things. First and foremost is your jawbone health. If you’ve been missing a tooth for a while, you may have experienced some bone loss, which could affect the implant’s stability. Your overall health also plays a big role; conditions that impair healing can complicate the process. Being a non-smoker is highly recommended, as smoking can significantly hinder the healing process and increase the risk of implant failure. Ultimately, the best way to know for sure is to have a detailed consultation. You can even get a head start by filling out our new patient forms before your visit.

Bone Grafting: A Solution for Jawbone Loss

What if you’re told you don’t have enough bone density for an implant? Don’t worry—that doesn’t automatically disqualify you. For patients who have experienced significant jawbone loss, a procedure called bone grafting can be a game-changer. Bone grafting involves adding bone material to your jaw to build it up and create a solid, stable foundation for the implant. This added material encourages your body to grow new bone in that area. While it does add an extra step and healing time to the overall process, it makes successful implant placement possible for many people who otherwise wouldn’t be candidates, allowing them to enjoy the benefits of a permanent tooth replacement.

Types of Dental Implants and Artificial Teeth

When you hear “dental implant,” you might picture a single replacement tooth, but the technology is incredibly versatile. Dental implants can be used to replace one tooth, several teeth, or even a full arch of teeth. The system is modular, consisting of a few key components that work together to create a seamless and functional restoration. Understanding these parts and the options available can help you feel more confident in your treatment decisions. Whether you need a single crown or a full set of new teeth, there are implant-based solutions that can be tailored to your specific needs, providing a stable and aesthetically pleasing result. You can see the incredible transformations in our before and after gallery.

The Three Main Components

A dental implant isn’t just one piece; it’s a system made of three core components. First is the implant itself, which is a small, screw-like post typically made of titanium. This is the part that is surgically placed into your jawbone to act as the artificial root. The second component is the abutment, which is a connector piece that is attached to the top of the implant post once it has fully healed. The abutment sits just above the gum line and serves as the base for your new tooth. Finally, there is the crown, which is the visible, tooth-shaped cap that is secured to the abutment. The crown is custom-crafted to match the color, size, and shape of your natural teeth.

Fixed vs. Removable Options

Implant-supported restorations come in two main varieties: fixed and removable. Fixed options, like a single crown or a full-arch bridge, are permanently attached to the implants and can only be removed by a dentist. They look, feel, and function just like natural teeth, offering the highest level of stability for chewing and speaking. Removable options, often called overdentures, are a full set of teeth that snap securely onto the implants. While they are much more stable than traditional dentures, they can be taken out at home for easy cleaning. The choice between fixed and removable often depends on factors like bone density, personal preference, and budget, all of which you can discuss with your dental specialist.

Investing in Your Smile: Cost and Financial Information

Thinking about the cost of dental implants is a practical and important step. It’s helpful to view them not as a short-term expense but as a long-term investment in your health, confidence, and quality of life. Unlike other tooth replacement options that may need to be repaired or replaced every few years, dental implants are designed to be a permanent solution. The initial investment can be higher than alternatives like dentures or bridges, but their durability and ability to prevent costly future dental issues, such as jawbone deterioration, often make them more cost-effective over a lifetime. The final price can vary significantly from person to person, as each treatment plan is customized to the patient’s unique needs and goals.

Factors That Influence the Cost

There is no one-size-fits-all price for dental implants because several factors influence the total cost. The number of implants you need is the most significant factor—a single implant will cost less than a full-mouth restoration. The type of material used for the crown and abutment can also affect the price. Furthermore, your treatment may require additional procedures to ensure success, such as a tooth extraction or a bone graft to build up your jawbone. The complexity of the surgery and the specific technology used can also play a role. A detailed consultation and treatment plan will give you a clear breakdown of all the associated costs for your specific case.

Long-Term Value of Implants

When you consider the long-term value, dental implants truly shine. Because they fuse with your jawbone, they prevent the bone loss that occurs when a tooth is missing. This protects your facial structure and prevents the sunken look that can develop over time. Traditional dentures and bridges don’t offer this benefit and often need to be replaced every 5 to 15 years, leading to recurring costs. Implants, with proper care, can last a lifetime. This durability, combined with the improved ability to eat, speak, and smile with confidence, makes them an invaluable investment in your overall well-being for years to come.

Financing and Insurance Options

We understand that the cost of dental implants is a significant consideration, and we believe that financial concerns shouldn’t stand in the way of getting the care you need. Many dental practices offer flexible payment plans or work with third-party financing companies to help make the treatment more affordable. While dental insurance plans vary widely, some may cover a portion of the cost of the procedure. It’s always a good idea to check directly with your insurance provider to understand your specific coverage. At Dental & Implant Centers of Colorado, we are committed to helping you explore all your financing and insurance options to create a plan that fits your budget.

Caring for Your Dental Implants Long-Term

Once your dental implants are in place, taking care of them is straightforward and essential for ensuring they last a lifetime. The great news is that caring for an implant is very similar to caring for your natural teeth. The goal is to keep the implant post, the artificial tooth, and the surrounding gums clean and healthy to prevent complications. Just like natural teeth, implants can accumulate plaque and tartar, which can lead to gum inflammation or a more serious condition known as peri-implantitis if not managed. This condition is similar to gum disease and can damage the bone supporting the implant. Establishing a consistent oral hygiene routine is the best way to protect your investment and enjoy your new smile for decades.

Your daily care routine should include brushing twice a day and flossing at least once a day. You may want to use a soft-bristled toothbrush or special tools like an interdental brush or water flosser to effectively clean around the implant and under the crown. Regular dental check-ups and professional cleanings are also non-negotiable. These appointments allow your dentist to monitor the health of your implant, the surrounding bone, and your gums, catching any potential issues before they become serious problems. With diligent home care and professional support, your dental implants can remain a healthy, functional, and beautiful part of your smile for the rest of your life.

Comparing Implants with Other Restoration Options

When it comes to replacing missing teeth, patients often weigh their options between dentures, bridges, and implants. While each method has its place in dental care, the long-term effects on your jawbone and facial appearance are where the differences become truly significant.

  • Dentures: A Temporary Fix Without Bone Support

While most patients tend to choose dentures for their affordability and quick results, they often lead to a loose fit, discomfort, and gradual facial sagging. Since they rest only on the gums and do not integrate with the jawbone, the bone beneath begins to shrink over time. Also, dentures may require frequent relining or replacement as the bone continues to deteriorate.

  • Dental Bridges: Functional but Limited

Dental bridges provide a fixed restoration and can restore chewing ability more effectively than removable dentures. However, because a bridge relies on neighbouring teeth for support, it does not interact with the jawbone beneath the missing tooth. Over time, the bone in that area still resorbs, leading to subtle changes in gum contour and facial appearance.

  • Dental Implants: The Gold Standard for Restoration

Dental implants stand apart because they replace both the visible tooth and its root structure. Through osseointegration, the implant fuses with the bone, preventing bone loss and maintaining facial integrity. Hence, they result in restoration that looks, feels, and functions like a natural tooth. For patients seeking lasting stability and aesthetics, implants, especially full mouth dental implants, are ideal. Conclusion If you have been considering dental repair after tooth loss, it is recommended to go through full mouth dental implants, which can not only enhance your oral functions but also reverse any deterioration caused in the meantime. If you are ready to restore your smile and maintain the health of your jaw and facial structure, schedule a consultation with DIC Colorado today.

Frequently Asked Questions

How soon should I act after losing a tooth? It’s best to address a missing tooth as soon as you can. The process of jawbone deterioration begins right after a tooth is lost because the root is no longer there to stimulate the bone. Acting promptly can help you avoid the need for additional procedures, like bone grafting, and makes the implant process more straightforward while preserving your natural facial contours.

I’ve been missing teeth for a long time. Is it too late for implants? It’s very likely not too late. While it’s true that the jawbone shrinks over time without a tooth root, modern dentistry has excellent solutions. A procedure called bone grafting can rebuild the lost bone, creating a strong and stable foundation for an implant. This makes it possible for many people who have been missing teeth for years to successfully receive implants and restore their smiles.

Are dental implants really that much better than dentures for my facial structure? Yes, the difference is significant. Dentures rest on top of your gums and don’t provide any stimulation to the jawbone, so the bone continues to shrink underneath them. This is what leads to that sunken look over time. Implants, on the other hand, fuse directly with your jawbone, acting like a natural tooth root to keep the bone strong and healthy, which in turn supports your cheeks and lips.

Is the dental implant procedure painful? This is a common concern, but most people are pleasantly surprised by how manageable the process is. The procedure itself is done with local anesthesia, so you won’t feel pain. Afterward, any discomfort is typically mild and can be handled with over-the-counter pain relievers for a few days. Patients often report that it’s less uncomfortable than having a tooth extracted.

How do I take care of my implants to make sure they last? Caring for your implants is quite simple and very similar to how you care for your natural teeth. A consistent routine of brushing twice a day, flossing daily, and attending regular dental check-ups and cleanings is all it takes. Good oral hygiene prevents gum issues and ensures the bone supporting your implant stays healthy, allowing your implant to last a lifetime.

Key Takeaways

  • A Missing Tooth Leads to Bone Loss: When a tooth is gone, the jawbone underneath loses its purpose and begins to shrink, which can eventually cause your facial features to sag and look older.
  • Dental Implants Act Like Natural Roots: By fusing with your jaw, an implant provides the stimulation needed to preserve bone density, effectively halting bone loss and supporting your facial structure from within.
  • Choose a Permanent Structural Solution: While dentures and bridges fill a gap, only dental implants address the underlying issue of bone loss, making them a lasting investment in your health, function, and appearance.

Related Articles

The awesome dental team at DICC collaborates to bring you educational material every month. Each post is reviewed by the doctor, hygienist & office manger team to ensure we bring you 100% verified and reliable content. Contact us at info@diccolorado.com to provide feedback on this blog.

Scroll to Top

Call Us

Broomfield
Cherry Creek